Salud — infeccion
¿Qué pasa en los pulmones cuando hay infección por COVID-19?

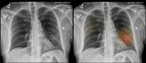
¿Qué pasa en los pulmones cuando hay infección por COVID-19? Pese a que han pasado varios meses desde la aparición del coronavirus en el mundo, aún tenemos mucho que aprender acerca de él y de las secuelas que deja en el organismo, incluida la forma en que afecta los pulmones.Sabemos que el COVID-19 es una enfermedad de las vías respiratorias superiores y que las personas infectadas pueden propagar fácilmente al respirar, hablar o toser cerca de otra persona, incluso si no saben que lo tienen. Por ello, todos deberíamos distanciarnos socialmente y usar cubrebocas fuera de nuestra casa.“Después de entrar...